Broken Ankle

According to the American Academy of Orthopaedic Surgeons, doctors have noticed an increase in the number and severity of broken ankle fracture ankles since the 1970s, due, in part, to the Baby Boomer generation being active throughout every stage of their lives. Broken ankles are an injury we treat in our six offices: Rocky Hill CT, Bristol CT, Newington CT, Glastonbury CT, Middletown CT, and Kensington CT. Our four podiatrists, Dr. Jeffrey S. Kahn, Dr. Richard E. Ehle, Dr. Craig M. Kaufman, and Dr. Ayman M. Latif are highly trained in treating broken ankles.

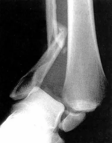
The ankle has two joints, one on top of the other, and three bones. A broken ankle can involve one or more of the bones, as well as injury to the surrounding connecting tissues or ligaments.

There are a wide variety of causes for broken ankles, most commonly a fall, an automobile accident, or sports-related trauma. Because a severe sprain can often mask the symptoms of a broken ankle, every ankle injury should be examined by a physician.

Symptoms of a broken ankle include:

  • Bruising.
  • Swelling.
  • Immediate and severe pain.
  • Inability to put any weight on the injured foot.
  • Tenderness to the touch.
  • Deformity, particularly if there is a dislocation or a fracture.

The treatment for a broken ankle usually involves a leg cast or brace if the fracture is stable. If the ligaments are also torn, or if the fracture created a loose fragment of bone that could irritate the joint, surgery may be required to secure the bones in place so they will heal properly.

Appointment Request

Taking Steps Towards Healthy Feet, Every Step of the Way!

Contact Us

!
!
!
!

Please do not submit any Protected Health Information (PHI).